跟程序员一样,很多科研党从刚入门的生机勃勃,到后来以肉眼可见的速度变成一片片荒漠。当然,现在发量问题已经逐渐变成一" />
欢迎访问爱游戏网页版最新官网!

聪明绝顶

医学实验主要包括分子生物学、细胞生物学、病理学、免疫学的实验;SCI论文主要包括论文翻译、母语润色改写;专利主要包括发明专利、实用新型专利、外观设计专利的申请;专著主要包括单篇学术论文、系列学术论文和学术专著的出版。

聪明绝顶 当前位置:首页 > 爱游戏网页版最新官网

聪明绝顶

作为一名科研党,除了日常烧香祈祷阳性结果之外,可能最关注的就是我们的发际线了。
跟程序员一样,很多科研党从刚入门的生机勃勃,到后来以肉眼可见的速度变成一片片荒漠。当然,现在发量问题已经逐渐变成一种社会性问题。因为随着生活节奏的加快,人们要长期承受着各种压力,而这种慢性压力与脱发是密切相关的。
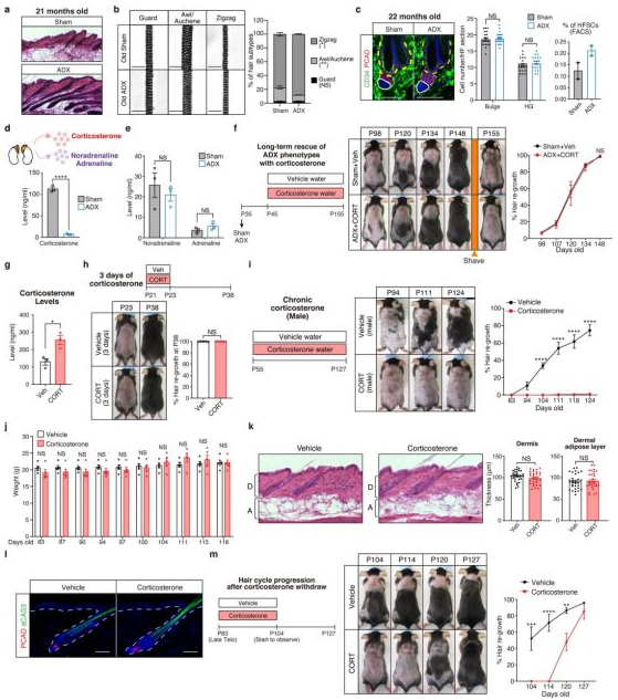
最近,在《自然》杂志上,一篇名为“Corticosterone inhibits GAS6 to govern hair follicle stem-cell quiescence”的文章,在动物水平上,针对具体分子层面对压力与脱发之间的关系进行了探究,阐明了压力与毛囊干细胞功能障碍的内在关联机制。

在理解这篇文献之前,我们需要知道,人的毛发并不是一直处于生长状态的,毛发的生长周期其实可以分成三个阶段:生长期(正常生长)、衰退期(毛囊逐渐萎缩,头发基本不再生长)、休止期(头发不再生长并开始脱落)。而在压力影响下,毛囊会提前进入休止期,造成脱发。
为了探究这其中的具体机制,该团队利用小鼠为实验模型,在小鼠出生后35天(小鼠毛发进入休止期之前)切除小鼠两侧肾上腺(ADX组),阻断压力激素的分泌。
实验结果显示,对照组小鼠第一次休止期持续了大概58天左右,但是手术组小鼠的休止期只有11天。随着进一步观察发现,对照组小鼠的休止期会逐渐延长(58~75~95等);但是手术组小鼠的休止期始终保持在两周左右,并且毛发生长旺盛。

                                                                           首次毛发生长周期对比
 
 
随后观察了16个月,发现对照组小鼠完成了3次毛发生长周期,而手术组完成了10次,且肾上腺切除后的小鼠的毛发还是能够和幼鼠一样浓密,生长速度很快。
为了进一步验证他们的猜想,在部分手术组小鼠中喂食皮质酮(肾上腺产生的一种应激激素),发现可以抑制这种过于频繁的毛发生长周期并恢复正常;同时,在九周中持续给部分正常组小鼠施加各种压力,检测到皮质酮的含量显著升高,并且毛发生长持续减少。
那么皮质酮的信号是如何被毛囊干细胞感知的呢?皮质酮的信号转导是通过糖皮质激素受体发出的,那么在皮肤中不同细胞类型中,这种受体的选择性缺失可以筛选出接受这种信号的细胞类型。通过筛选发现,这条信号传递链中,毛囊干细胞并不能直接感知这种信号,而真正受到影响的是真皮乳头细胞。
该团队随后分析了真皮乳头中的mRNA表达,发现了一种GAS6蛋白,可以作为候选分子信使。利用腺病毒载体,将GAS6转染到皮肤中发现,不仅刺激了正常组小鼠的毛发生长,还恢复了压力应激或皮质酮喂食期间的毛发生长。

                       皮质酮恢复ADX小鼠毛发周期进展
接下来,该团队对接收GAS6信号的毛囊干细胞的受体进行了研究,发现了毛囊干细胞的一种表面受体AXL蛋白,在接收了GAS6信号后刺激细胞分裂,找到了这条信号传递链的最后一个关键点。通过这些数据和其他数据表明,由慢性压力应激触发的皮质酮信号可以抑制真皮乳头中的GAS6产生,而真皮中的GAS6的强制表达可以绕过压力应激对毛发生长的抑制作用,恢复其快速生长的能力。

 
这一突破性进展在一定程度上为压力应激诱发的脱发治疗提供了一个潜在的方向。当然,这种皮质酮信号传递方式是在小鼠中的具体方式,在人类中是否存在相似的信号传递链尚不可知。另外,针对人类中长期处于休止期导致脱发的情况是否可以通过这种手段来重新激活或者缓解,也需要进一步研究。
也期待更多的先驱在这一领域探索的更深、更广,致敬“聪明绝顶”的科研人。
上一篇:益生菌逆转小鼠脱发
下一篇: “生前若不久睡,长眠定会提前”
热门推荐
>
<